
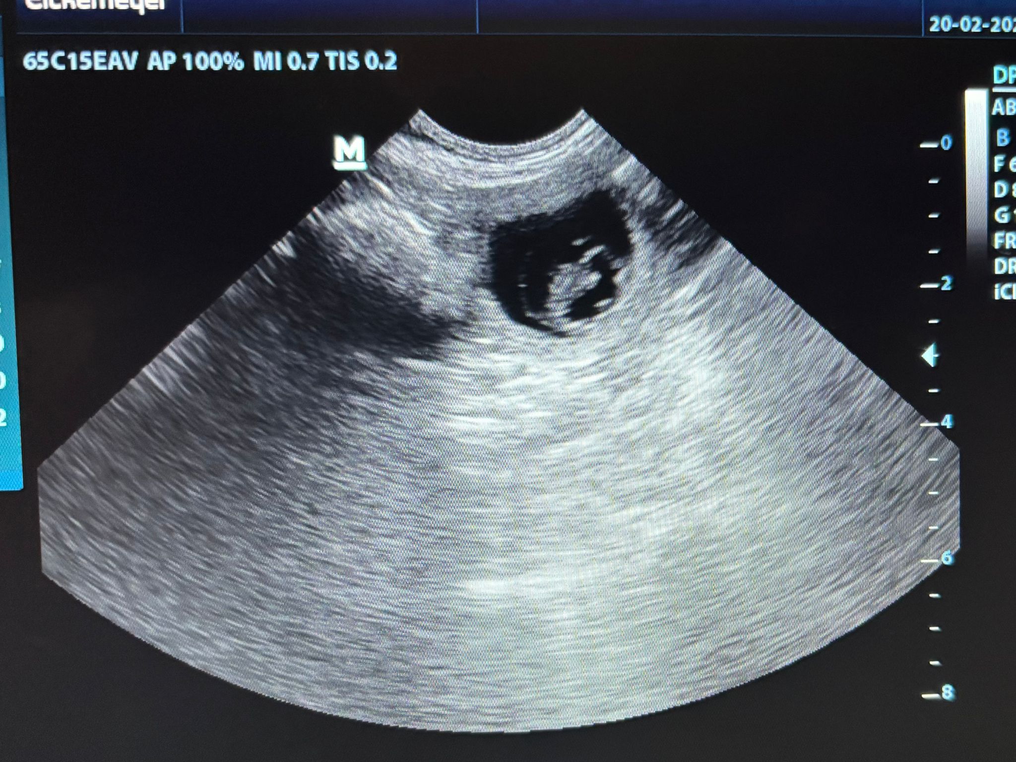
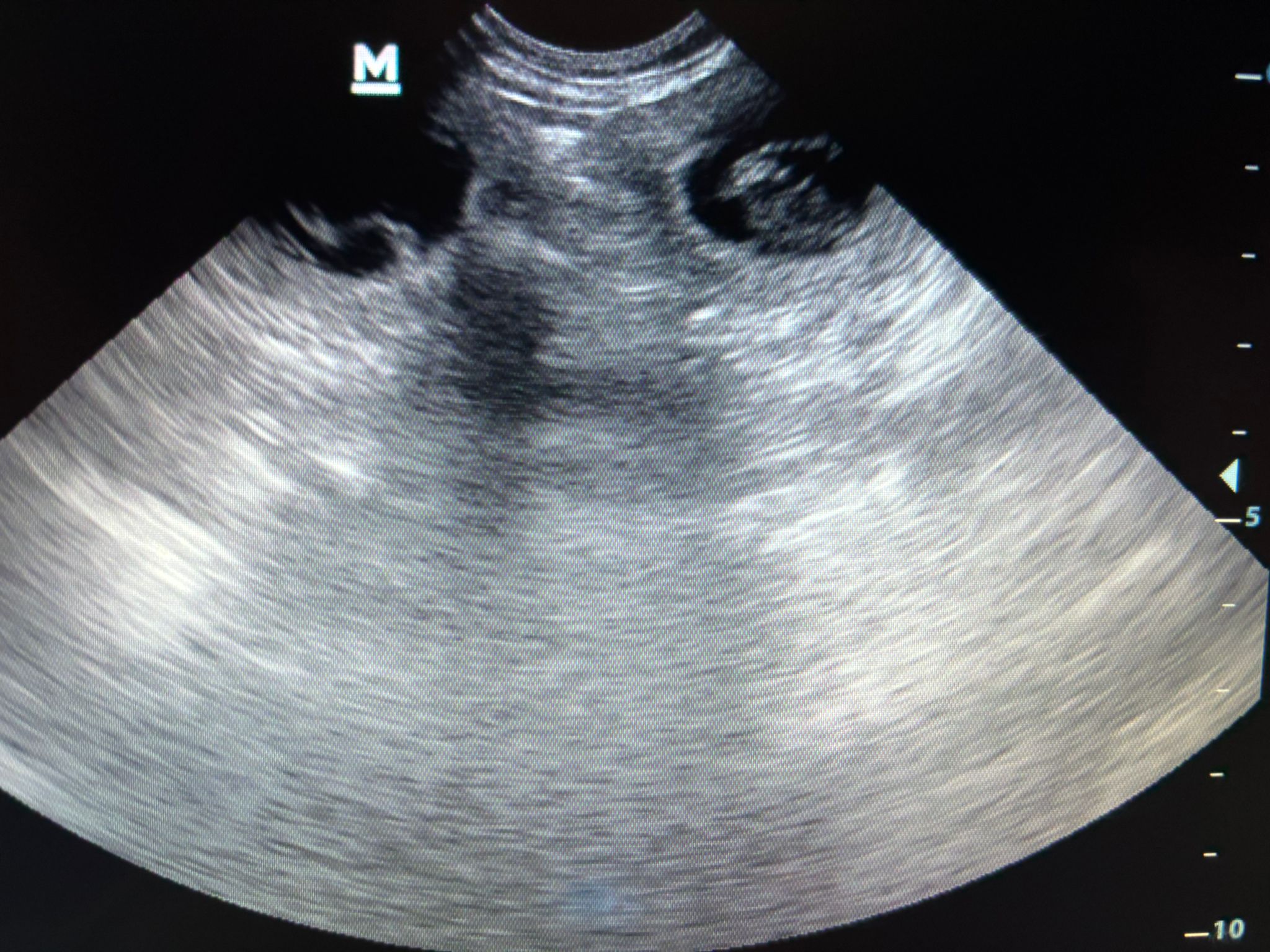
Beim Ultraschall bei unserer Tierärztin hat sich gestern Abend (19.2.2026) gezeigt, dass unsere Maite vom Nikolausberg nun trächtig ist und aus der Verpaarung mit unserem Duke Ellington kleine English Cocker Spaniel Welpen bekommen wird. Wir sind schon so gespannt auf den A-Wurf.
Am 26. März 2026 wäre der berechnete Wurftag aufgrund des 1. Deckakts. Der Ultraschall zeigt aber wohl, dass sie noch kleiner sind und ein späterer Deckakt wahrscheinlich dazu führte.
Deshalb ist es wahrscheinlicher, dass der Wurftag auch ein paar Tage später sein könnte. Eine fast genaue Anzahl der Welpen können wir erst beim Röntgen sehen, das ca. 1 Woche vor dem Wurftag erfolgt. Dann lassen wir uns überraschen, wieviel Rüden und Hündinnen es sind, und welche Farben sie haben, wenn es soweit ist...
Unsere lieben, anhänglichen und freundlichen Elternhunde sind gesund, von rassespezifischen Erbkrankheiten frei und leben bei uns in der Familie im Haus mit Hof und Garten in Erfurt-Mittelhausen (Thüringen). Weitere Informationen zu unseren Welpen haben wir -> hier zusammengestellt. Duke und Maite sind beide als uneingeschränkt zuchttauglich vom Spaniel Club Deutschland e.V. (-> VDH -> FCI) eingestuft.

Neue Informationen erfolgen dann frühzeigt wieder hier. Gerne können Sie bei weiteren Fragen, Interesse usw. mit uns Kontakt aufnehmen -> Kontaktinformationen.
